btbanner.jpg

Improved technique to detect the infarction in delayed enhancement image using k-mean method

Cardiac magnetic resonance (CMR) imaging is an important technique for cardiac diagnosis. Measuring the scar in myocardium is important to cardiologists to assess the viability of the heart. Delayed enhancement (DE) images are acquired after about 10 minutes following injecting the patient with contrast agent so the infracted region appears brighter than its surroundings. A common method to segment the infarction from DE images is based on intensity Thresholding. This technique performed poorly for detecting small infarcts in noisy images. In this work we aim to identify the best threshold

Healthcare
Circuit Theory and Applications
Innovation, Entrepreneurship and Competitiveness

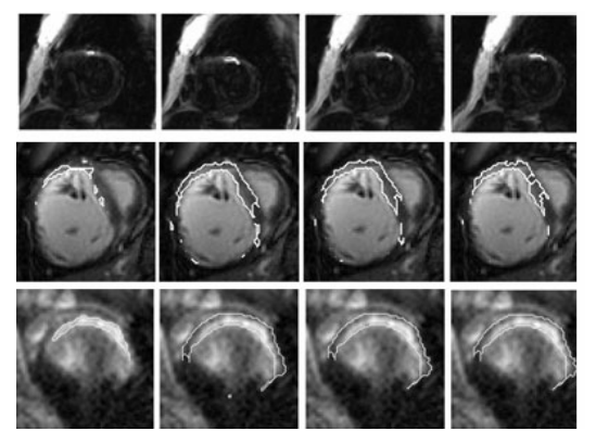
Improved strain measuring using fast strain-encoded cardiac MR

The strain encoding (SENC) technique encodes regional strain of the heart into the acquired MR images and produces two images with two different tunings so that longitudinal strain, on the short-axis view, or circumferential strain on the long-axis view, are measured. Interleaving acquisition is used to shorten the acquisition time of the two tuned images by 50%, but it suffers from errors in the strain calculations due to inter-tunings motion of the heart, which is the motion between two successive acquisitions. In this work, a method is proposed to correct for the inter-tunings motion by

Healthcare
Circuit Theory and Applications
Innovation, Entrepreneurship and Competitiveness

In-silico development and assessment of a Kalman filter motor decoder for prosthetic hand control

Up to 50% of amputees abandon their prostheses, partly due to rapid degradation of the control systems, which require frequent recalibration. The goal of this study was to develop a Kalman filter-based approach to decoding motoneuron activity to identify movement kinematics and thereby provide stable, long-term, accurate, real-time decoding. The Kalman filter-based decoder was examined via biologically varied datasets generated from a high-fidelity computational model of the spinal motoneuron pool. The estimated movement kinematics controlled a simulated MuJoCo prosthetic hand. This clear-box

Healthcare
Circuit Theory and Applications
Software and Communications
Mechanical Design
Innovation, Entrepreneurship and Competitiveness

Trans-Compiler based Mobile Applications code converter: Swift to java

Numerous commercial tools like Xamarin, React Native and PhoneGap utilize the concept of cross-platform mobile applications development that builds applications once and runs it everywhere opposed to native mobile app development that writes in a specific programming language for every platform. These commercial tools are not very efficient for native developers as mobile applications must be written in specific language and they need the usage of specific frameworks. In this paper, a suggested approach in TCAIOSC tool to convert mobile applications from Android to iOS is used to develop the

Artificial Intelligence
Circuit Theory and Applications
Software and Communications
Innovation, Entrepreneurship and Competitiveness

New governance framework to secure cloud computing

Cloud computing is enabling proper, on-demand network access to a shared pool of computing resources that is elastic in reserve and release with minimal interaction from cloud service provider. As cloud gains maturity, cloud service providers are becoming more competitive, which increase the percentage of cloud adoption. But security remains the most cited challenge in Cloud. So, while we are progressing in cloud adoption, we have to define key elements of our cloud strategy and governance. Governance is about applying policies relating to used services. Therefore, it has to include the

Software and Communications
Innovation, Entrepreneurship and Competitiveness

Neural Machine Based Mobile Applications Code Translation

Although many cross platform mobile development software used a trans-compiler-based approach, it was very difficult to generalize it to work in both directions. For example, to convert between Java for Android Development and Swift for iOS development and vice versa. This is due to the need of writing a specific parser for each source language, and a specific code generator for each destination language. Neural network-based models are used successfully to translate between natural languages, including English, French, German any many others by providing enough datasets and without the need

Artificial Intelligence
Software and Communications
Innovation, Entrepreneurship and Competitiveness

Interactive 3D visualization for wireless sensor networks

Wireless sensor networks open up a new realm of ubiquitous computing applications based on distributed large-scale data collection by embedded sensor nodes that are wirelessly connected and seamlessly integrated within the environment. 3D visualization of sensory data is a challenging issue, however, due to the large number of sensors used in typical deployments, continuous data streams, and constantly varying network topology. This paper describes a practical approach for interactive 3D visualization of wireless sensor network data. A regular 3D grid is reconstructed using scattered sensor

Software and Communications
Innovation, Entrepreneurship and Competitiveness

Innovative human-robot interaction for a robot tutor in biology game

Robots nowadays, are introduced to many domains and fields. One of these fields is education. We introduce integrating robots and games in education. We have designed a humanoid robot tutoring biology. Our robot is interacting with a student to play a game to enhance and examine the student's knowledge. In our game, we developed cognitive capabilities for the robot. We analyzed the features that both the robot and the game have to possess, and we developed a system for organ detection and recognition with the highest possible accuracy and lowest processing time. Our game introduces a multi

Circuit Theory and Applications
Software and Communications
Mechanical Design
Innovation, Entrepreneurship and Competitiveness

Improved Semantic Segmentation of Low-Resolution 3D Point Clouds Using Supervised Domain Adaptation

One of the key challenges in applying deep learning to solve real-life problems is the lack of large annotated datasets. Furthermore, for a deep learning model to perform well on the test set, all samples in the training and test sets should be independent and identically distributed (i.i.d.), which means that test samples should be similar to the samples that were used to train the model. In many cases, however, the underlying training and test set distributions are different. In such cases, it is common to adapt the test samples by transforming them to their equivalent counterparts in the

Artificial Intelligence
Healthcare
Energy and Water
Software and Communications
Agriculture and Crops
Innovation, Entrepreneurship and Competitiveness

Studying Genes Related to the Survival Rate of Pediatric Septic Shock

Pediatric septic shock is generally considered as a devastating clinical syndrome that can lead to tissue damage and organ failure due to the over exaggerated immune response to an infection. Therefore, in this paper, we attempted to early identify the clinical course of such disease with the aid of peripheral blood T-cells of 181 pediatric patients who admitted to Intensive Care Unit (ICU), Accordingly, 34 differential expressed genes have been identified as biological genetic biomarkers. Minimum redundancy and maximum relevance feature selection strategy has been proposed for the discovery

Artificial Intelligence
Healthcare
Innovation, Entrepreneurship and Competitiveness